用户一:
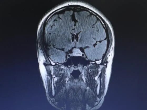
儿童用户 年龄9岁 左侧植入SYNCHRONY人工耳蜗
核磁检查原因:评估对侧能否植入耳蜗
核磁结果:
影片清晰度很高,完全满足诊断和评估需求。
影片显示耳蜗侧有较小伪影存在,但对侧的听神经和耳蜗显示的非常清晰,小朋友的耳蜗和内听道完全没有问题,左侧大脑也没有问题,所以经过核磁报告评估,这个小朋友完全适合对侧人工耳蜗植入。


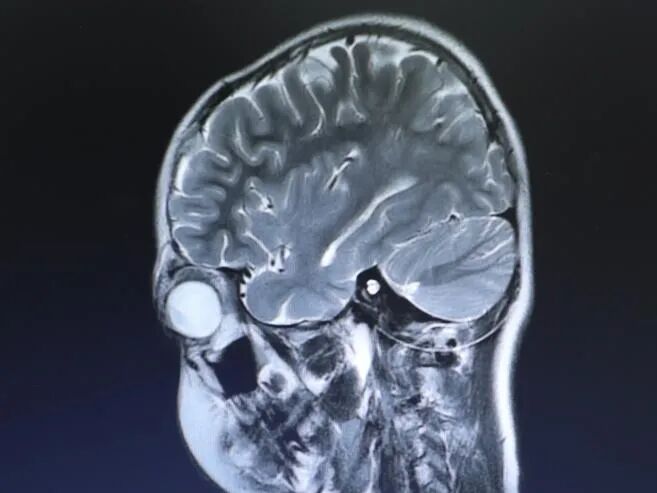
用户二:
成人用户 右侧植入SYNCHRONY人工耳蜗
核磁检查原因:耳蜗术后进行垂体瘤检查
核磁结果:
从影片看患者的垂体瘤近期有出血和生长的情况,目前需要进一步完成其它相关检查,再评估是否需要手术。




