*今天:
*
          →预约 挂号医生前,请先看这里!
您当前位置:人工耳蜗网 >> 奥地利耳蜗 >> 奥地利耳蜗资讯 >> 浏览文章
核磁神操作,让人工耳蜗磁铁伪影“无影无踪”
作者:奥地利人工耳蜗 日期:2020年06月05日 来源:奥地利人工耳蜗   录入:admin

绝对是神操作!话不多说,直接看图


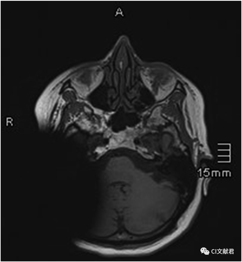
寰俊鍥剧墖_20200605120133.png

普通扫描技术


寰俊鍥剧墖_20200605120141.png


去伪影扫描技术



 
 
 
上图源自2019年2月发表在期刊<耳鼻喉病例报道>的一篇文章,通讯作者是维也纳医科大学Christoph Arnoldner教授。


基本信息



图片中的患者接受了人工耳蜗植入(奥地利MED-EL Mi1200 Synchrony)和前庭神经鞘瘤切除同期手术。在术后半年因复查肿瘤情况行磁共振检查。在磁场强度1.5T的磁共振机上分别进行了2次扫描,第一张图为采用普通扫描技术获得的影像,第二张图为采用伪影消除扫描技术获得的影像。可以看出人工耳蜗磁铁和金属材料造成的伪影几乎完全消除。而患者没有因此接受任何形式的二次手术。

事情是这样的



这篇文章实际上是一封信《Letter to the editor regarding worldwide 1st MED-EL Mi1200 SYNCHRONY cochlear implant magnet removal for MRI image artifact reduction by Wieser et al.致Wieser等人发表的世界首例MED-EL Mi1200SYNCHRONY人工耳蜗磁铁取出以减少伪影的文章编辑》大意是:


亲爱的编辑,我们对Wieser等专家发表的世界首例MED-EL Mi1200SYNCHRONY人工耳蜗磁铁取出以减少伪影这篇文章很感兴趣。然而,我们认为为了减少核磁伪影而让患者接受额外的取磁铁二次手术似乎有些不妥,因为随着核磁扫描技术发展,人工耳蜗磁铁的伪影是可以通过调节扫描参数得到极大改善的,还顺便分享了一个他们的案例(就是以上2幅图片)。


看完文章和这个病例报道只想说:


完 美


神 操 作


人工耳蜗用户真正的福音!


参考文献

Ursula Schwarz-Nemec , Valerie Dahm , Christoph Arnoldner.Letter to the editor regarding worldwide 1st MED-EL Mi1200 SYNCHRONY cochlear implant magnet removal for MRI image artifact reduction by Wieser et al.[J]Otolaryngology Case Reports 10 (2019) 43–44

期刊

<耳鼻喉病例报道>


寰俊鍥剧墖_20200605120145.jpg


奥地利人工耳蜗预约与咨询表(点击可直接打开)

回到首页
 
上一篇文章:专访|奥地利人工耳蜗中国区丁国玉女士:听障儿童也是祖国的未来
下一篇文章:广东各市人工耳蜗植入医保政策解读